0%
Портфолио - основное изображение
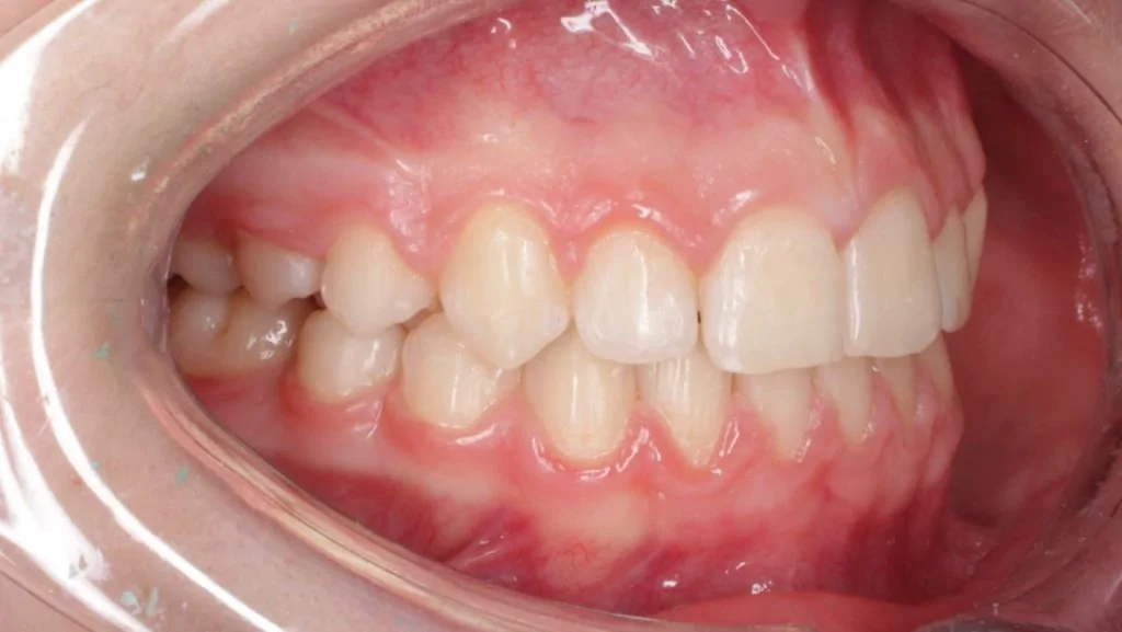
Портфолио - до 1
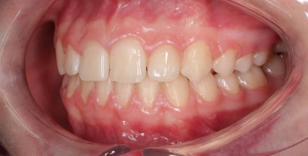
Портфолио - после 1
Портфолио - до 2
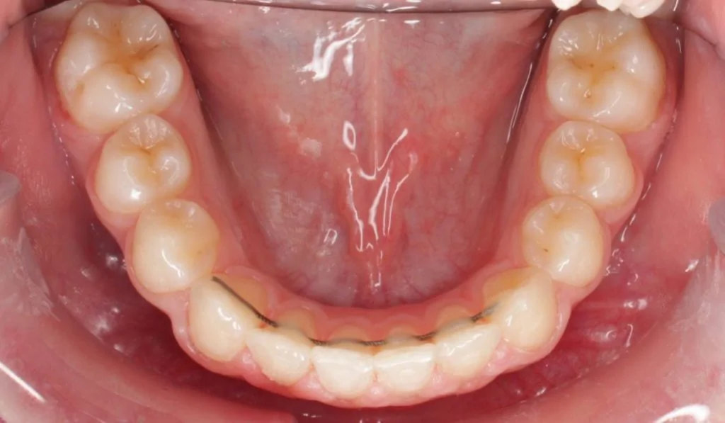
Портфолио - после 2
Портфолио - до 3
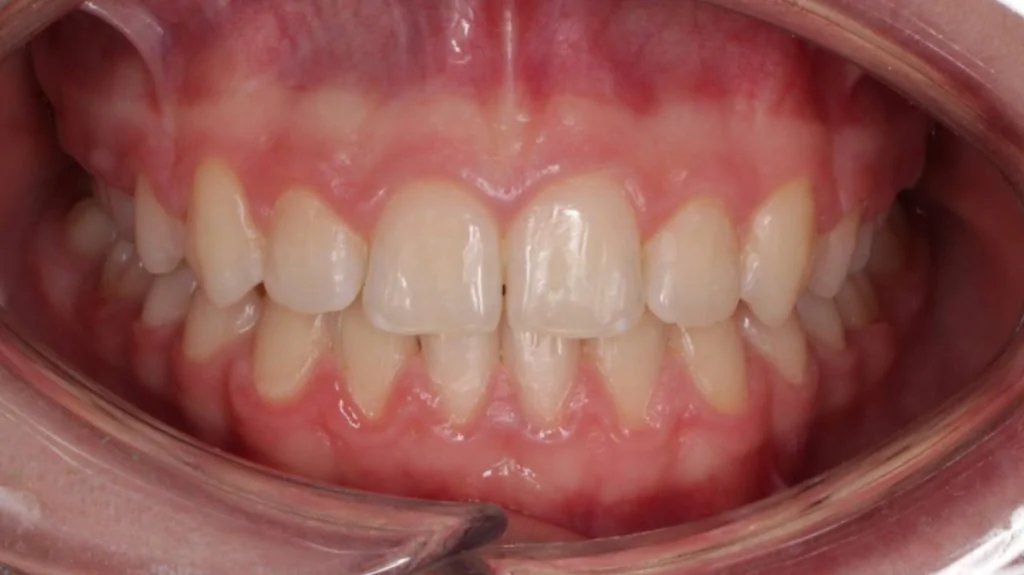
Портфолио - после 3
Портфолио - до 4
Портфолио - после 4
Портфолио - после 5
Записаться к врачу
Отправьте заявку и мы запишем Вас на консультацию или прием в течение 5 минут