0%
Портфолио - основное изображение
Портфолио - до 1
Портфолио - после 1
Портфолио - до 2
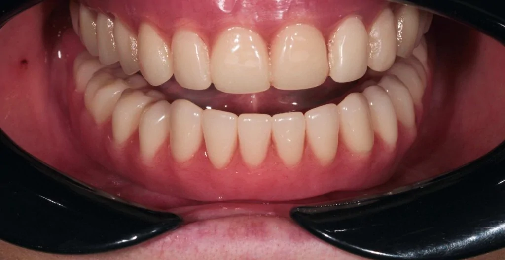
Портфолио - после 3
Записаться к врачу
Отправьте заявку и мы запишем Вас на консультацию или прием в течение 5 минут